
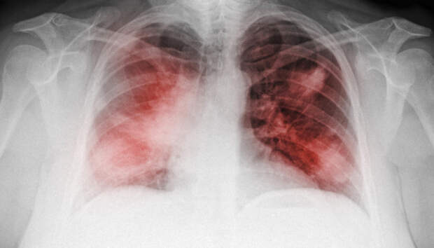
Всем пациентам с воспалением легких неоднократно проводится исследование на COVID-19 Одиннадцать человек за сутки госпитализированы с внебольничной пневмонией в Карелии, сообщает оперштаб по борьбе с распространением коронавирусной инфекции. Летальных исходов за прошедшие 24 часа в республике не зафиксировано.
Всем пациентам с пневмонией неоднократно проводится исследование на COVID-19. Начиная с 1 апреля, с внебольничной пневмонией госпитализированы […] The post Одиннадцать человек с пневмонией госпитализированы в Карелии first appeared on Информационное Агентство 365 дней.
Свежие комментарии