
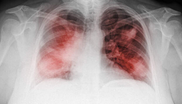
Всем пациентам с воспалением легких неоднократно проводится исследование на COVID-19 Семнадцать человек за сутки госпитализированы с внебольничной пневмонией в Карелии, сообщает оперштаб по борьбе с распространением коронавирусной инфекции. Летальных исходов за прошедшие 24 часа в республике не зафиксировано.
Начиная с 1 апреля, с внебольничной пневмонией госпитализированы 1835 пациентов, 85 человек умерли (с учетом пациентов, госпитализированных […] The post Больные с пневмонией продолжают поступать в больницы Петрозаводска first appeared on Информационное Агентство 365 дней.
Свежие комментарии