
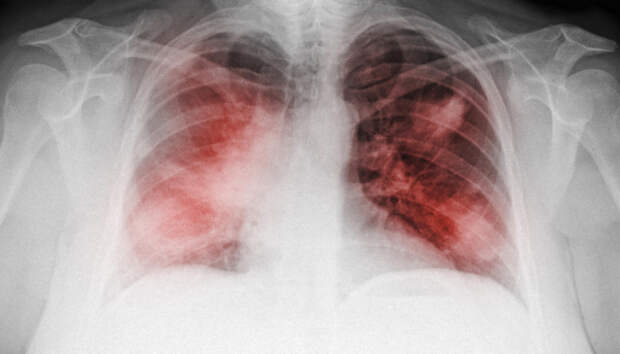
За минувшие сутки в блечебные учреждения с воспалением легких попало двенадцать человек Двенадцать человек за сутки госпитализированы с внебольничной пневмонией в Карелии, сообщает оперативный штаб по борьбе с распространением COVID-19 в Карелии. Летальных исходов от внебольничной пневмонии не зарегистрировано.
Начиная с 1 апреля, с внебольничной пневмонией госпитализированы 1285 пациентов, 76 человек умерли (с учетом пациентов, […]
Свежие комментарии