
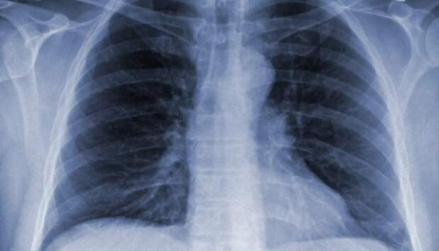
Всем пациентам с воспалением легких неоднократно проводится исследование на COVID-19 Шесть человек за сутки госпитализированы с внебольничной пневмонией в Карелии, сообщает оперштаб по борьбе с распространением коронавирусной инфекции. Летальных исходов не зарегистрировано. Начиная с 1 апреля, с внебольничной пневмонией госпитализированы 1222 пациента, 74 человека умерли (с учетом пациентов, госпитализированных ранее указанного периода).
Напомним, что всем […]
Свежие комментарии