
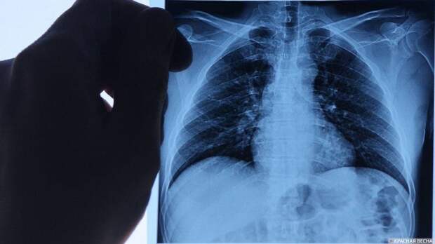
Впервые инновационный тест для диагностики туберкулеза, созданный в России, включен в рекомендации ВОЗ (Всемирная организация здоровья), которые являются основным документом для медиков всех стран, 3 октября сообщила главный внештатный фтизиатр Минздрава России Ирина Васильева. «Впервые российский инновационный тест для диагностики туберкулеза и выявления пациентов с высоким риском развития активного туберкулезного процесса вошел в консолидированные методические рекомендации ВОЗ, которые являются основным предписанием для мирового врачебного сообщества», — отметила Васильева.
Диаскин-тест, инновационная разработка ученых их России, является новым классом кожных тестов и очень точно установливает факт заражения организма микобактериями туберкулеза. Использование этого теста помогает избежать ложноположительных результатов. Это позволяет проводить профилактику и лечить туберкулез на ранней стадии, подчеркнула фтизиатр. ВОЗ считает диаскин-тест наиболее эффективным методом выявления туберкулеза, алтернативным туберкулиновой пробе (реакции Манту) и анализу высвобождения гамма-интерферона IGRA. Напомним, диаскин-тест был создан в лаборатории биотехнологии НИИ молекулярной медицины ММА им. И. М. Сеченова. В России диаскин-тест используется для диагностики взрослых с 2009 года, а с 2017 года — для выявления заболевания туберкулезом у детей с семи лет. Отметим также, в 2021 году Россию исключили из списка стран, по версии ВОЗ, с высоким риском туберкулеза. Россия была в этом списке 22 года.
Свежие комментарии