
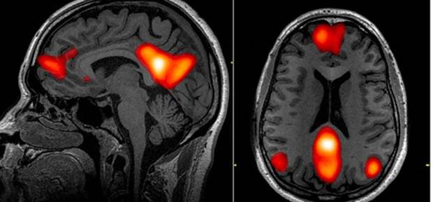
Среди множества серьезных симптомов COVID-19 странные неврологические эффекты, с которыми сталкиваются многие пациенты, считаются самыми неизученными. Внезапная потеря обоняния и вкуса была одним из первых необычных симптомов, о которых сообщили пациенты с COVID-19, но были задокументированы случаи инсульта, судорог и отека мозга (так называемый энцефалит).
Согласно отчетам и исследованиям, некоторые пациенты с диагнозом COVID-19 также […] The post Сканирование мозга показывает полный спектр аномалий COVID-19, которые не могут объяснить ученые first appeared on Информационное Агентство 365 дней.
Свежие комментарии