
Головной мозг (ГМ) – важнейший орган, центр нервной системы. При возникновении в нем проблем, патологий страдают все органы и системы. Болезней ГМ множество. С некоторыми из них медицина пока не может бороться, но вполне возможно оказать влияние на ход патологии. Другие же недуги вполне поддаются терапии.
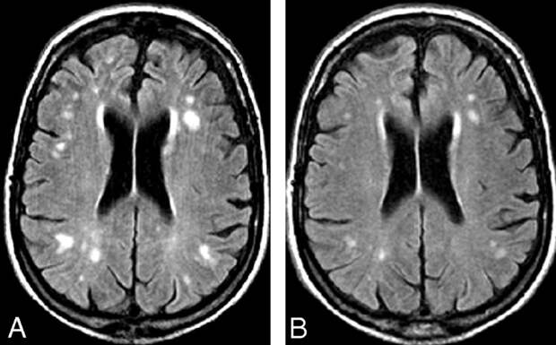
По характеру первопричины патологии делят на диффузные и очаговые […] The post Очаговые поражения головного мозга: виды, причины, симптомы, диагностика и лечение first appeared on Информационное Агентство 365 дней.
Свежие комментарии